Skip to content Skip to sidebar Skip to footer

Charcot Marie Tooth Disease Radiology

Charcot Marie Tooth Disease Radiology Reference Article Radiopaedia Org

Charcot Marie Tooth Disease Radiology Reference Article Radiopaedia Org

Charcot marie tooth disease radiology. X-linked Charcot-Marie-Tooth disease CMT1X is the second most common form of inherited neuropathy. Gallardo E Garcia A Combarros O Berciano J. MRI is an ideal method for identifying areas of muscle atrophy and fatty infiltration.

The peripheral nerves are found outside the main central nervous system brain and spinal cord. Patients develop a progressive distal weakness and atrophy that results from length-dependent axonal loss. Charcot-Marie-Tooth CMT disease is one of the.

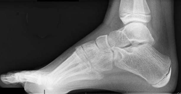
Atrophy associated with mild-to-moderate sensory loss. Charcot-Marie-Tooth disease CMT is one of a group of disorders that cause damage to the peripheral nervesthe nerves that transmit information and signals from the brain and spinal cord to and from the rest of the body as well as sensory information such as touch back to the spinal cord and brain. Pes cavus and hammer toe deformities with twisting of the ankle.

Clinical manifestations include 123. Its also known as hereditary motor and sensory neuropathy HMSN or peroneal muscular atrophy PMA. Charcot-Marie-Tooth CMT disease is a group of hereditary sensory and motor neuropathies resulting from demyelination axonal dysfunction or both 123.

Charcot-Marie-Tooth CMT disease is one of the hereditary motor and sensory neuropathy HMSN disorders a group of genetically based disorders characterized by progressive motor weakness decreased nerve conduction velocities and nerve root enlargement 1. The finding of massive enlargement of the spinal nerve roots is demonstrated on a computed tomographic scan in. An epidemiological genetic study of Charcot-Marie-Tooth disease in Western Japan.

Severe atrophy of all intrinsic short foot muscles which have been replaced by fat tissue. Taken together results from these articles support the concept that genetic causes of Charcot-Marie-Tooth disease serve as a living microarray system to identify molecules necessary for normal peripheral nervous system function. There is linear thickening of several cauda equina equina extending from the leve.

Spectrum of clinical and magnetic resonance imaging features in. Charcot-Marie-Tooth disease type 1A duplication.

Charcot Marie Tooth Disease Radiology Reference Article Radiopaedia Org

Charcot Marie Tooth Disease Radiology Reference Article Radiopaedia Org

Charcot Marie Tooth Disease Hmsn Radiology Case Radiopaedia Org

Charcot Marie Tooth Disease Hmsn Radiology Case Radiopaedia Org

Neuropathic Joint Charcot Marie Tooth Disease Radiology At St Vincent S University Hospital

Neuropathic Joint Charcot Marie Tooth Disease Radiology At St Vincent S University Hospital

Fig 3 Charcot Marie Tooth Disease Extensive Cranial Nerve Involvement On Ct And Mr Imaging American Journal Of Neuroradiology

Fig 3 Charcot Marie Tooth Disease Extensive Cranial Nerve Involvement On Ct And Mr Imaging American Journal Of Neuroradiology

Mr Imaging Of The Cauda Equina In Hereditary Motor Sensory Neuropathies Correlations With Sural Nerve Biopsy American Journal Of Neuroradiology

Mr Imaging Of The Cauda Equina In Hereditary Motor Sensory Neuropathies Correlations With Sural Nerve Biopsy American Journal Of Neuroradiology

Brain Involvement In Charcot Marie Tooth Disease Due To Ganglioside Induced Differentiation Associated Protein 1 Mutation Neuromuscular Disorders

Brain Involvement In Charcot Marie Tooth Disease Due To Ganglioside Induced Differentiation Associated Protein 1 Mutation Neuromuscular Disorders

Charcot Marie Tooth Disease Orthoinfo Aaos

Charcot Marie Tooth Disease Orthoinfo Aaos

Clinico Electrophysiological And Genetic Overlaps And Magnetic Resonance Imaging Findings In Charcot Marie Tooth Disease A Pilot Study From Western India

Clinico Electrophysiological And Genetic Overlaps And Magnetic Resonance Imaging Findings In Charcot Marie Tooth Disease A Pilot Study From Western India

Charcot Marie Tooth Disease Springerlink

Charcot Marie Tooth Disease Springerlink

Hereditary Primary Motor Sensory Neuropathy Charcot Marie Tooth Radiology Case Radiopaedia Org

Hereditary Primary Motor Sensory Neuropathy Charcot Marie Tooth Radiology Case Radiopaedia Org

Orthokids Charcot Marie Tooth

Orthokids Charcot Marie Tooth

Nerve Root Hypertrophy In Cmt Type 1a Neurology

Nerve Root Hypertrophy In Cmt Type 1a Neurology

Figure 3 From Clinical Progression In Charcot Marie Tooth Disease Type 1a Duplication Clinico Electrophysiological And Mri Longitudinal Study Of A Family Semantic Scholar

Figure 3 From Clinical Progression In Charcot Marie Tooth Disease Type 1a Duplication Clinico Electrophysiological And Mri Longitudinal Study Of A Family Semantic Scholar

Http Pdf Posterng Netkey At Download Index Php Module Get Pdf By Id Poster Id 129044

Http Pdf Posterng Netkey At Download Index Php Module Get Pdf By Id Poster Id 129044

Compression Of Spinal Cord And Cauda Equina In Charcot Marie Tooth Disease Type 1a Neurology

Compression Of Spinal Cord And Cauda Equina In Charcot Marie Tooth Disease Type 1a Neurology

A Rare Association Between Multiple Sclerosis And Charcot Marie Tooth Type 1b Cortese 2016 Brain And Behavior Wiley Online Library

A Rare Association Between Multiple Sclerosis And Charcot Marie Tooth Type 1b Cortese 2016 Brain And Behavior Wiley Online Library

Pes Cavus Radiology Reference Article Radiopaedia Org

Pes Cavus Radiology Reference Article Radiopaedia Org

A Special Association Between Charcot Marie Tooth Type 1a Disease And Relapsing Remitting Multiple Sclerosis Multiple Sclerosis And Related Disorders

A Special Association Between Charcot Marie Tooth Type 1a Disease And Relapsing Remitting Multiple Sclerosis Multiple Sclerosis And Related Disorders

Charcot Marie Tooth Disease Masquerading As Acute Demyelinating Encephalomyelitis Like Illness American Academy Of Pediatrics

Charcot Marie Tooth Disease Masquerading As Acute Demyelinating Encephalomyelitis Like Illness American Academy Of Pediatrics

Mri Findings In X Linked Charcot Marie Tooth Disease Associated With A Novel Connexin 32 Mutation Clinical Radiology

Mri Findings In X Linked Charcot Marie Tooth Disease Associated With A Novel Connexin 32 Mutation Clinical Radiology

Frontiers Brain Plasticity In Charcot Marie Tooth Type 1a Patients A Combined Structural And Diffusion Mri Study Neurology

Frontiers Brain Plasticity In Charcot Marie Tooth Type 1a Patients A Combined Structural And Diffusion Mri Study Neurology

Mri Findings In Charcot Marie Tooth Disease With Normal Comparison

Mri Findings In Charcot Marie Tooth Disease With Normal Comparison

Http Pdf Posterng Netkey At Download Index Php Module Get Pdf By Id Poster Id 129044

Http Pdf Posterng Netkey At Download Index Php Module Get Pdf By Id Poster Id 129044

Https Encrypted Tbn0 Gstatic Com Images Q Tbn And9gcqnk6ioofg 5kcla8fgxxa5tp2enyhxgypibdnlmc8b7ry93qjh Usqp Cau

Https Encrypted Tbn0 Gstatic Com Images Q Tbn And9gcqnk6ioofg 5kcla8fgxxa5tp2enyhxgypibdnlmc8b7ry93qjh Usqp Cau

Radiology Quiz 10360 Radiopaedia Org

Radiology Quiz 10360 Radiopaedia Org

Charcot Marie Tooth Disease Orthopaedicsone Articles Orthopaedicsone

Charcot Marie Tooth Disease Orthopaedicsone Articles Orthopaedicsone

Multiple Cranial Nerve Enlargement In Charcot Marie Tooth Disease Journal Of Neurology Neurosurgery Psychiatry

Multiple Cranial Nerve Enlargement In Charcot Marie Tooth Disease Journal Of Neurology Neurosurgery Psychiatry

Scielo Brasil Sciatic Neuropathy Findings On Magnetic Resonance Neurography Sciatic Neuropathy Findings On Magnetic Resonance Neurography

Scielo Brasil Sciatic Neuropathy Findings On Magnetic Resonance Neurography Sciatic Neuropathy Findings On Magnetic Resonance Neurography

Charcot Marie Tooth Disease Foot Deformities Footeducation

Charcot Marie Tooth Disease Foot Deformities Footeducation

Charcot Marie Tooth Disease And Pes Cavus Right Foot After Download Scientific Diagram

Charcot Marie Tooth Disease And Pes Cavus Right Foot After Download Scientific Diagram

Orthokids Charcot Marie Tooth

Orthokids Charcot Marie Tooth

A This Axial Knee Mri Of A Patient With Charcot Marie Tooth Disease Download Scientific Diagram

A This Axial Knee Mri Of A Patient With Charcot Marie Tooth Disease Download Scientific Diagram

Underestimated Associated Features In Cmt Neuropathies Clinical Indicators For The Causative Gene Werheid 2016 Brain And Behavior Wiley Online Library

Underestimated Associated Features In Cmt Neuropathies Clinical Indicators For The Causative Gene Werheid 2016 Brain And Behavior Wiley Online Library

Cranial Nerve Involvement In Charcot Marie Tooth Disease Sciencedirect

Cranial Nerve Involvement In Charcot Marie Tooth Disease Sciencedirect

Mr Imaging Of The Cauda Equina In Hereditary Motor Sensory Neuropathies Correlations With Sural Nerve Biopsy American Journal Of Neuroradiology

Mr Imaging Of The Cauda Equina In Hereditary Motor Sensory Neuropathies Correlations With Sural Nerve Biopsy American Journal Of Neuroradiology

Corticospinal Tract Mri Hyperintensity In X Linked Charcot Marie Tooth Disease Journal Of Clinical Neuroscience

Corticospinal Tract Mri Hyperintensity In X Linked Charcot Marie Tooth Disease Journal Of Clinical Neuroscience

Http Www Cmt Org Uk Wp Content Uploads 2015 02 Clinical And Electrophysiological Pdf

Http Www Cmt Org Uk Wp Content Uploads 2015 02 Clinical And Electrophysiological Pdf

X Linked Charcot Marie Tooth Disease And Multiple Sclerosis Emerging Evidence For An Association Journal Of Neurology Neurosurgery Psychiatry

X Linked Charcot Marie Tooth Disease And Multiple Sclerosis Emerging Evidence For An Association Journal Of Neurology Neurosurgery Psychiatry

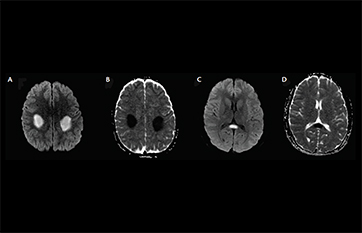
Recurrent Stroke Like Events Before Diagnosis Of X Linked Charcot Marie Tooth Disease Practical Neurology

Recurrent Stroke Like Events Before Diagnosis Of X Linked Charcot Marie Tooth Disease Practical Neurology

Recurrent Stroke Like Episodes In X Linked Charcot Marie Tooth Disease Neurology

Recurrent Stroke Like Episodes In X Linked Charcot Marie Tooth Disease Neurology

Mr Imaging Of Dejerine Sottas Disease American Journal Of Neuroradiology

Mr Imaging Of Dejerine Sottas Disease American Journal Of Neuroradiology

Patient Who Has Charcot Marie Tooth Disease A Preoperative Clinical Download Scientific Diagram

Patient Who Has Charcot Marie Tooth Disease A Preoperative Clinical Download Scientific Diagram

Knee Mri Showing Thickened Peripheral Nerves In Charcot Marie Tooth Disease Springerlink

Knee Mri Showing Thickened Peripheral Nerves In Charcot Marie Tooth Disease Springerlink

Effective Cauda Equina Decompression In Two Siblings With Charcot Marie Tooth Disease Type 1b Neuromuscular Disorders

Effective Cauda Equina Decompression In Two Siblings With Charcot Marie Tooth Disease Type 1b Neuromuscular Disorders

Proximal Nerve Magnetization Transfer Mri Relates To Disability In Charcot Marie Tooth Diseases Neurology

Proximal Nerve Magnetization Transfer Mri Relates To Disability In Charcot Marie Tooth Diseases Neurology

Classic Cmt Foot Symptoms And How To Treat Them

Classic Cmt Foot Symptoms And How To Treat Them

Charcot Marie Tooth Disease Variants 1 In 2 500 Motor Sensory Symptoms In Young Patient Dr Michael Coroneos Master Cime Senior Neurosurgeon

Charcot Marie Tooth Disease Variants 1 In 2 500 Motor Sensory Symptoms In Young Patient Dr Michael Coroneos Master Cime Senior Neurosurgeon

Charcot Marie Tooth Disease Type 1a And Inflammatory Demyelinating Lesions In The Central Nervous System

Charcot Marie Tooth Disease Type 1a And Inflammatory Demyelinating Lesions In The Central Nervous System

Https Encrypted Tbn0 Gstatic Com Images Q Tbn And9gcrhttq7dl1ycpbawokse V2o6tyrs Yls96j1q Uey1tvcqv7q Usqp Cau

Https Encrypted Tbn0 Gstatic Com Images Q Tbn And9gcrhttq7dl1ycpbawokse V2o6tyrs Yls96j1q Uey1tvcqv7q Usqp Cau

Charcot-Marie-Tooth CMT disease is the most common inherited neuromuscular disorder.

Gallardo E Garcia A Combarros O Berciano J. Severe atrophy of all intrinsic short foot muscles which have been replaced by fat tissue. CharcotMarieTooth disease CMTD also known as hereditary motor and sensory neuropathy HMSN is the most frequent form of inherited polyneuropathy with a prevalence ratio of 17-40 cases per 100 000 inhabitants. Charcot-Marie-Tooth disease is a hereditary hypertrophic neuropathy. Pes cavus and hammer toe deformities with twisting of the ankle. MR and CT imaging has become more common in the evaluation of CMT to identify areas of disease involvement. What is Charcot-Marie-Tooth disease. Its also known as hereditary motor and sensory neuropathy HMSN or peroneal muscular atrophy PMA. Distal muscle weakness.


Charcot-Marie-Tooth disease type 1A duplication. It is characterized by inherited neuropathies without known metabolic derangements. Charcot-Marie-Tooth disease is a hereditary hypertrophic neuropathy. CMTD is caused by different gene mutations that produce modified proteins that affect peripheral axon or myelin. An epidemiological genetic study of Charcot-Marie-Tooth disease in Western Japan. Charcot-Marie-Tooth disease CMT is a group of inherited conditions that damage the peripheral nerves. Taken together results from these articles support the concept that genetic causes of Charcot-Marie-Tooth disease serve as a living microarray system to identify molecules necessary for normal peripheral nervous system function.

Post a Comment for "Charcot Marie Tooth Disease Radiology"